바른선택에서는 충치치료와 교정을 한곳에서 받을 수 있다?! 면목동 치과 에서 알려주는 치료 순서의 중요성😊
특별해지는 치아교정 이야기!
바른선택의 박해지 원장입니다.
충치치료와 교정을 동시에 해야 될 때!
👉🏻 충치치료를 먼저 해야 될까요?
👉🏻 교정을 먼저 해야 될까요?
아마 사람마다 생각하는 게 다 다를 텐데요.
대수롭지 않게 느껴졌던 치료 순서도
정말 중요하다는 사실을 오늘 포스팅을 통해
설명드리려 합니다.
오늘 소개해 드릴 케이스는
삐뚤어진 치열 그리고 심하게 썩은 이로
고민을 갖고 계셨던 환자분의 증례인데요.
그거 알고 계셨나요?
저희 면목동 치과 에는
치주과+통합 치의학과 전문의인 조원장님과
교정과 전문의인 제가 상주하고 있어
일반진료부터 잇몸, 임플란트, 치아교정까지
폭넓은 치료를 받으실 수 있다는 점⭐


22.08 – 24.02
이가 너무 삐뚤어요..
처음 오셨을 때 말씀하셨던 내용이
아직까지 생생하게 기억에 남습니다.
“앞니가 막 엉켜 있는 것 같아요.
고르게 바뀌었으면 좋겠는데..
여기저기 겹쳐 있는 곳도 있어서
이가 더 잘 썩는 것 같기도 해요.”
네, 맞습니다.
치아가 고르게 배열되어 있는 것보다
겹쳐 있고 삐뚤어져 있게 된다면
‘충치의 발생 확률’이 더 높아질 수밖에 없습니다.
칫솔이 닿기 어렵기 때문인데요.
그래서 이런 분들은 치간칫솔이나 치실,
워터픽 등으로 더 꼼꼼히 관리를 해야 되죠.

초진 사진을 확인해 본 결과
심한 총생과 반대교합 그리고
검게 썩어 있는 어금니를 볼 수 있었습니다.
삐뚤어진 배열로 인해 관리가
어려웠던 것으로 확인되는데요.


절단 교합까지 함께 확인되어
이대로 내버려두었다간
턱관절이나 교합에도 좋지 않은
영향을 끼칠 거란 판단이 들었습니다.
따라서 면목동 치과 에서는
위 문제를 모~두 해결할 수 있는
치료 계획을 세우기로 했죠!
충치 먼저? 교정 먼저?
우선 조원장님께 충치치료를 받은 후!
저에게 교정을 진행하기로 했습니다!
사랑니 발치와 이동을 하며 얻는
공간을 생각하면 발치는 필요하지
않겠다는 판단이 들었는데요.
따라서 비발치 전체 교정으로 계획을 세웠습니다.
사실 썩은 곳을 먼저 없앤 뒤에
다음 과정으로 넘어가는 것이 정말 중요합니다.
만약 순서가 거꾸로 되거나
진료를 하지 않는다면
기간이 딜레이 되거나 장치를 떼었다가
치료를 해야 되는 번거로움이 생길 수 있죠!
상악 확장 후, 전체 배열 시작
면목동 치과 에서는
심하게 썩은 곳부터 진료를 도왔는데요.
이후 상악 확장 장치를 부착하여
위쪽 공간을 확장한 뒤에,
전체 배열을 도와드리기로 했습니다.

우선 상악에만 장치를 부착했습니다.
이후 제위치를 찾을 수 있도록
어느 정도 공간이 확보된 후,
하악에도 장치를 연결하여 이동을 이끌었는데요.

점차 알맞은 교합을 찾아
개선이 되고 있는 것을 볼 수 있네요ㅎㅎ
중간중간 체크해야 될 요소들을
꼼꼼히 확인한 뒤에 환자분의
구강 상태에 맞춰 진행을 도와드렸는데요.

1년 반이 넘어가자 교정을
마무리해도 되겠다는 판단이 들어
세밀한 교합이나 배열을 다시 한번
꼼꼼히 점검하는 시간을 가졌습니다.

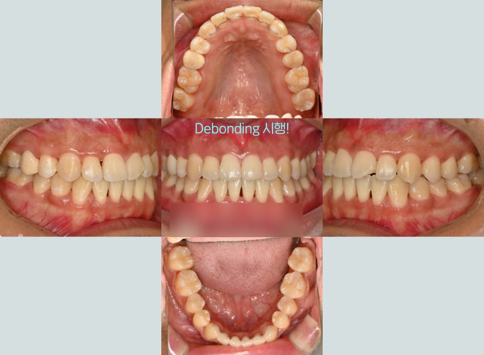
이후 장치 제거까지 도와드릴 수 있었는데요.
모든 과정이 완료되어 고르게 바뀐 치열을 보면
이전 모습이 생각나지 않을 정도로
심미적인 모습을 갖게 되었습니다ㅎㅎ

삐뚤어진 치아로 고민을 갖고 계셨던 분인데,
정중선도 잘 맞고 전체적으로 고른 치열을
얻게 되었네요.
면목동 치과 교정도 다른 치료와 마찬가지로
유지 관리가 정말 중요한데요.
스스로도 관리를 잘 하실 수 있게끔
양치를 비롯한 유지 관리 방법을
꼼꼼하게 설명드린 후에
고정식 유지 장치 부착 후 모든 과정을 마쳤습니다.

이처럼 두 가지 이상의 개선이 필요한 경우도
저희 바른선택에서는 문제없이
신속한 과정으로 진행이 가능합니다.
이와 관련하여 문의할 내용이 있는 분들은
아래 댓글 및 면목동 치과 로 연락 남겨주시면
자세한 상담 도와드릴게요ㅎㅎ
교정 관련하여 궁금한 내용은
편하게 연락 주세요~~
박해지 원장이었습니다. 감사합니다.