스케일링, 치주치료 과정
안녕하세요, 조승기 원장입니다.
구강 건강을 위해서는 꾸준한 정기검진도
중요하지만, 건강보험이 적용되는 스케일링도
연1회 받아주는 것이 구강 건강을 챙기면서
치주질환을 예방할 수 있어 좋습니다.
오늘은 예시 사진과 함께 스케일링과
치주치료 과정에 대해 설명드리겠습니다.

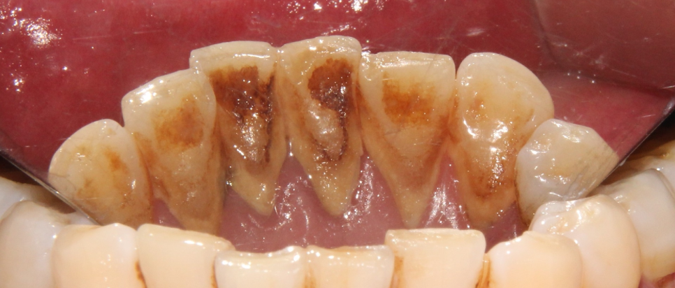
먼저 구내 사진을 보면
치석이 쌓여있고, 착색이 있으며
잇몸이 좋지 못한 모습들이 보여집니다.
음식을 먹은 후에 잇솔질을 해 주지 않거나
미루고 방치해서 관리가 안되어
불량한 구강위생을 가지고 있을 때
치석은 잘 생기게 됩니다.
치석이 생기는 이유
음식을 먹고 나서 깨끗하게 닦아주지 않아서
치면에 얇은 막이 만들어지고 구강병을 일으키는 세균들이 달라 붙게 되는데
이것을 치태(플라그,plaque) 라 합니다.
치태와 타액 속에 있는 무기질인
칼슘과 인이 만나서
돌처럼 단단하게 만들어져서
쌓이는 것이 치석입니다.
이것은 세균들이 더 번식할 수 있도록 하는
세균들의 집과 같기 때문에
충치와 잇몸질환을 일으키고, 구취가 나게 되며
구강 속 치조골을 점차 녹이게 됩니다.
치태는 잇솔질로 쉽게 제거할 수 있지만
치석은 치아 표면에 붙어있기 때문에
잇솔질로 잘 제거하기가 어렵습니다.
그래서 스케일링을 받아주는 것이 좋습니다.

치료해야 될 곳들이 여러군데 보여집니다.
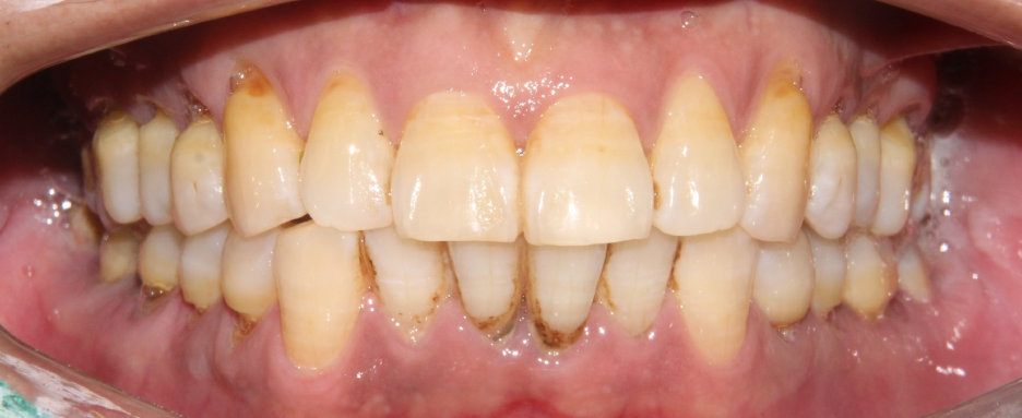
우선 구강 속을 깨끗하게 청소 해 주기 위해
스케일링을 해야 합니다.
그 다음에는 잇몸치료라 하는 치주 소파술(Curettage)를 해야 할 것으로 판단됩니다.
스케일링 만으로는 잇몸 밑으로 자리잡
단단하고 검은 치석과
염증을 제거하기가 어렵습니다.
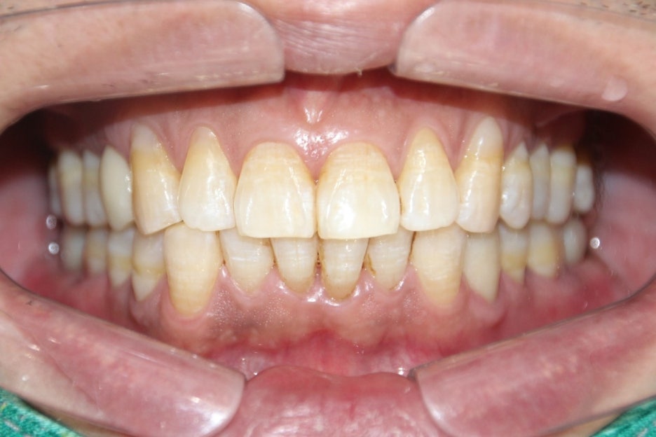
이런 경우, 국소마취를 하고 큐렛을 이용해서
치석과 염증을 긁어서 빼내는 술식인
소파술을 진행해야 합니다.

이제는 깨끗해진 모습이 보여집니다.
양치할 때, 피가 나고 냄새가 나면
구강 건강에 이상이 생겼을 가능성이 높습니다.
일시적인 현상으로 출혈이 발생할 수 있지만,
약한 칫솔질에도 출혈이 발생하는 건
잇몸이 약해졌다는 것을 의미합니다.
잇몸은 치아를 단단하게 붙잡아주는
역할을 합니다.
이러한 잇몸이 약해지게 되면 치아도 결국
흔들리게 됩니다.

치석제거를 하지 않고 놔두게되면
잇몸이 붓고 염증이 나타나며,
점점 치조골을 녹이게 됩니다.
그렇게 되면 치아가 흔들려서
치아상실로 이어지게 됩니다.
치아상실의 큰 이유는
충치가 아닌 치주질환이 대부분입니다.
그렇기에 치주관리는 중요합니다.
가까운 치과에서
꾸준히 정기검진을 받아서
구강건강을 챙겨주시길 바랍니다.
감사합니다.
