심하게 썩어버린 어금니, 신경치료 및 크라운 수복 과정
충치는 남녀노소 누구에게나 생길 수 있는
제일 흔한 구강질환 중 하나입니다.
안녕하세요, 조승기 원장입니다.
청결한 위생관리 및 주기적인 검진만
제대로 받으신다면 충치나 치주 질환 등
구강질환으로 치료를
받는 일은 거의 없다고 할 수 있습니다.
그 정도로 구강질환 예방에 있어
청결한 관리, 정기검진이 중요합니다.
오늘은 충치 치료 과정 중 신경치료와
크라운 수복 과정에 대해
예시 사진과 함께 설명드리겠습니다.
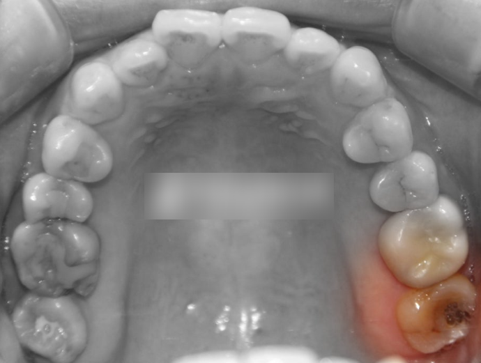
문제점 파악
하단 예시 사진을 관찰해보면
심하게 썩어 있는 최후방구치(# 27)을
확인할 수 있습니다.
이미 치관 부위 부식이 일어나
깨져 있는 것을 볼 수 있습니다.

위쪽 맨 뒤에 있는 어금니에 위치해 있기에
문제가 생기면 쉽게 알아차리기
어려운 편에 속합니다.
하악의 경우는 입을 벌리면 볼 수 있지만,
상악은 육안으로 발견하기가 쉽지 않습니다.
이런 경우 통증과 불편함과 같은
증상을 느낀 후에 문제가 생겼다는 것을
알아차리게 됩니다.
충치는 감염 범위에 따라 치료 방법이 달라지기에
방사선 촬영본을 통해 어디까지 퍼졌는지
자세하게 관찰해보겠습니다.

이미 치수강 근처까지 심하게 썩어 있는
맨 안쪽 치아를 확인할 수 있습니다.
아무래도 신경치료를 진행하여
감염된 근관을 제거하고
새로운 충전재로 채워 넣은 뒤
크라운을 씌워야할 것으로 보여집니다.
어금니 신경치료 과정
우선 깊게 썩어 있는 곳은
신경치료를 진행해야 할 것으로
판단됩니다.
이후 크라운 수복을 씌워야 할 것으로
계획을 세울 수 있습니다.
신경치료와 크라운 수복 과정에 대해
예시 사진과 함께 자세하게 설명드리겠습니다.

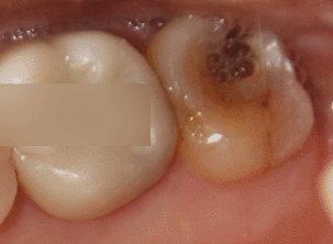
치수 부근까지 감염된 우식
근관 내부 길이를 측정한 다음
썩어 있는 곳들을 깨끗하게 제거합니다.
이후 몇 차례의 제거, 소독과정을 거친 후
확실하게 제거된 것을 확인한 뒤
충전재를 이용하여 뿌리 끝까지 밀폐를 시킵니다.

위쪽 맨 안쪽에 위치한 어금니라
기구의 접근도 쉽지 않을 것으로 예상됩니다.
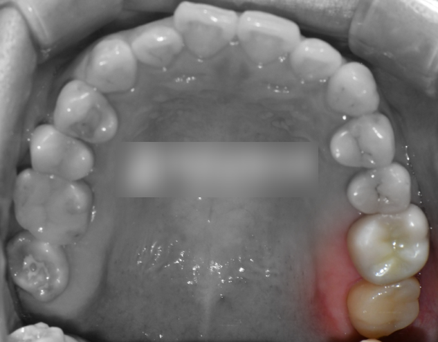
이후 크라운 보철을 씌우면
모든 과정이 마무리됩니다.
검게 썩어서 교합면 일부가
떨어져 나간 이전과 달리,
실제 자연치와 유사한 크라운이 올려져
있는 것으로 보여집니다.

수복이 완료되었다면,
음식을 잘 씹을 수 있도록 바이트 체크를 통해
먼저 닿거나 닿지 않는 곳이 있는지
마지막으로 점검합니다.
어금니, 검진을 통해 관리해야 합니다.

어금니는 음식을 씹는 중요한 역할을
갖고 있습니다.
자연치를 보존하는 신경치료라 해도
이전에 비해 치아가 약해질 수밖에 없습니다.
올바른 청결관리와 주기적인 검진을 통해
자연치를 오래 유지하는 것이
구강 건강, 나아가 신체 건강에
도움을 줄 수 있는 방법이라 할 수 있습니다.
치아를 상실되기 전까진
그 소중함에 대해 알지 못하는 분들이
정말 많습니다.
6개월에 한 번씩 가까운 치과를 방문하여
스스로의 구강 상태를 확인해 보길 바랍니다.
감사합니다.
