충치진행 정도에 따른 레진, 인레이, 신경치료 과정
안녕하세요, 조승기 원장입니다.
우식이 진행된 정도에 따라
치료법은 달라질 수 있습니다.
아래에 준비한 예시 자료를 통해
레진 부터 인레이, 신경치료까지
치료 과정을 자세히 설명드리겠습니다.

24.12.22
먼저, 육안으로 확인하기 힘든 부위들은
엑스레이 방사선 촬영을 통해 확인합니다.
우식 유무를 좀 더 명확하게 판단하기 위함입니다.

24.12.22
충치가 진행된 부분은
방사선 투과도의 차이가 발생하여
주변보다 어둡게 나타납니다.
이는 방사선이 치아를 통과할 때
밀도에 따라 다르게 흡수되기 때문입니다.
(우식증이 있는 부분은 방서선이 더 많이 통과하기 때문)
어느 치아가 얼마나 썩었는지 알 수 있어
치료 계획을 세우는 데 좋은 지표가 됩니다.

표시 (15,27, 14,47,24) 24.12.22

https://www.serenitysmiledesigns.com
교과서 적으로 충치 범위에 따른
치료방법은 다릅니다.
충치가 있는 부분을 전부 제거하면서
범위가 작은 부분은 레진,
좀 더 진행된 부분은 인레이,
그리고 깊게 썩은
작은 어금니(# 15번) 같은 경우는
신경치료가 고려됩니다.
우식범위에 따른 충치치료

24.12.22 ~ 25.01.13
우식이 가장 깊은 경우
신경치료를 진행하게 됩니다.
겉으로는 미세한 충치처럼 보여도
치아 내부를 들여다보면
안은 훨씬 범위가 넓게 썩어 있는 것을
확인할 수 있게 됩니다.
우식 부위를 삭제하면서 근관을
찾고 내부를 확장과 괴사 조직 제거를
통해 깨끗하게 만듭니다.
이때 중요한 것이 감염 조직을
남기지 않는 것입니다.
또, 약해진 치질을 보존하기 위해
포스트(Post)를 사용하기도 합니다.
*포스트는 근관 내부에 심어 치아를
지지해 주는 기둥과 같은 역할을 합니다.
이후 빠른 시일 내로 크라운을 씌워 정상적인
식사가 가능하도록 합니다.

24.12.22 ~ 25.01.13
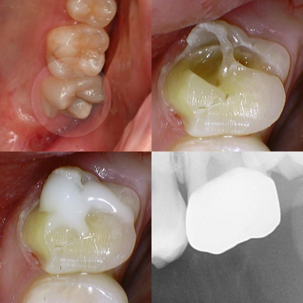
다음으로는, 신경치료를 진행한
치아 앞에 있던 작은 어금니의 인레이 과정입니다.
마찬가지로 충치 제거 후
치아의 뒷면에서 교합면으로 이어지는 형태의
(Distal – Occlusal, DO) 와동을 형성하여
인레이를 올릴 수 있는 모양으로
만드는 것이 필요합니다.

24.12.22 ~ 25.01.13

24.12.22 ~ 25.01.13
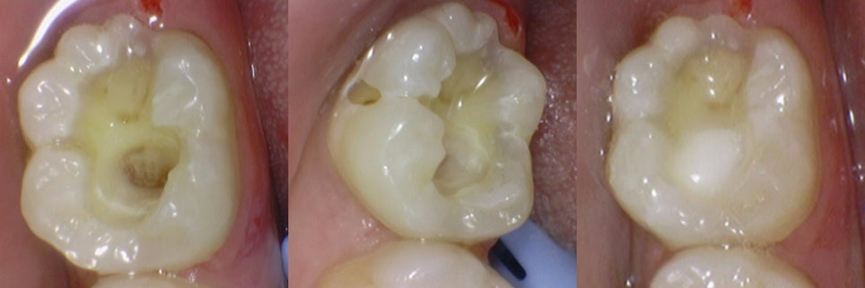
나머지 어금니 또한 충치를 걷어내고
인레이 와동을 형성한 모습입니다.
인레이 제작 과정에서도 전체적인
치아의 색상, 교합, 인접치아의
연관성을 고려해야 됩니다.

24.12.22 ~ 25.01.13
구강 맨 안쪽에 위치하여
칫솔이 제대로 닿기 어려운 부위인
어금니의 경우에는 좀 더 깊은 충치가 확인됩니다.
이때는 충치를 제거한 후 레진으로 보강하여 크라운을 씌워 마무리하면 됩니다.

우식을 초기에 발견했다면
경과를 지켜보거나 레진으로 간단한 치료가
가능합니다.
중요한 점은 정기적인 검진을 통해
초기에 발견하는 것입니다.
가까운 치과를 방문하여 6개월마다
정기검진을 받는것을 권장드립니다.
감사합니다.