치아교정 비발치로 할 수 있을까?
안녕하세요, 조승기 원장입니다.
치아교정 은 구강상태를 정밀진단하여
의료진의 계획에 따라서
치료가 달라지게 됩니다.
이를 뽑아서 이를 고르게 펼 공간을
확보 해 줄지 또는 이를 뽑지 않고
비발치로 치아교정 을 할 지 나뉘게 됩니다.
어떤 것이 더 좋다고 얘기하긴 어렵지만
의료진이 발치를 해서
이를 고르게 펴는 것으로 계획을 할 때에는
이를 뽑아야 이를 움직일 수 있는 틈이
만들어지기 때문입니다.
돌출입 정도가 심하거나
삐뚤빼뚤하고 겹쳐진 이들이 많을 땐
이를 뽑는 것이 이를 가지런하게
펼 공간을 만들 수 있습니다.
심한 돌출입이거나
겹쳐진 치아들이 많을 땐
이가 이동해야 될 자리가 필요하기 때문에
발치를 권하는 경우가 많습니다.
이를 뽑지 않고
치아교정 을 하고싶은 경우는 아마도,
멀쩡한 이를 뽑는다는 생각 때문일 것입니다.
공간을 확보하려고 뽑는 이는
비교적 중요성이 적은 작은어금니를 뽑습니다.
부분만 이가 틀어졌다면
공간확보를 크게 하지 않아도 되니
이를 뽑지 않고도
가지런하게 치료가 가능합니다

먼저 움직이는 사진으로
비발치 치아교정 전후차이를
관찰해보겠습니다.
틀어진 이가 점차 고르게 펴지는 것을 알 수 있습니다.
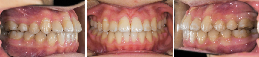
문제점 관찰

이가 고르지 못하며,
덧니들이 있는 모습이 보여집니다
그리고 앞니 하나는 반대로 교합되는 것을 알 수 있습니다.
이대로 두게 된다면,
교합은 잘 맞지 않아서 더 틀어질 것이며
겹쳐진 곳에는 양치질을 잘 해준다 해도
치태와 음식찌꺼기가
남아있을 가능성이 높기 때문에
충치와 치주질환에 더 취약합니다
이를 고르게 펴주어야겠습니다.
이때, 발치를 원하지 않는 경우라면
정밀진단을 한 뒤에 비발치 치아교정으로
계획을 수립할 수 있습니다.
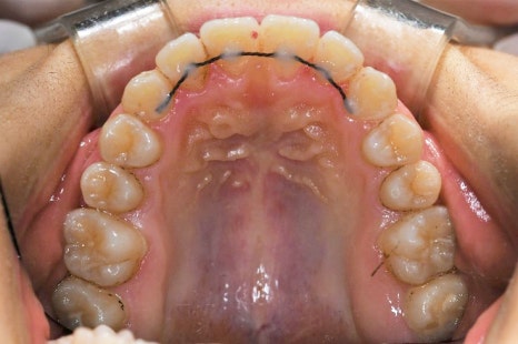
중간단계





브라켓 장치를 붙여서
이를 미세하게 움직여 주는 단계입니다
윗니쪽에는 스프링을 껴서
벌려지려는 탄성을 이용해서
거꾸로 물리는 앞니가
알맞게 자리를 잡을 공간을
만들어주는 것을 알 수 있습니다.
치아교정을 하게 되면 신경쓰셔야 될 점이 있습니다.
이에 아무것도 붙이지 않은 상태에서도
이를 꼼꼼하게 닦아서
청결하게 하는 것이 어려운데
이에 장치가 붙어있다면
음식이 잘 끼고 제대로 닦는 것이
더 어렵기 때문에
치간칫솔과 치실도 사용해서
깨끗하게 닦아줘야 됩니다



이가 가지런히 펴진 것을 알 수 있습니다.
비발치 치아교정 으로 계획을 수립하게 되면,
이 사이사이를 치간삭제를 하는 방법으로
공간을 확보하며 진행할 수 있습니다.
치간삭제를 해 주면
한 옆면씩 0.3mm를 공간을 얻을 수 있습니다.
여러 이를 적용하면 이에 부담이 낮으며
공간을 많이 확보할 수 있습니다
교정 치료를 마무리 한 후에는
유지장치를 붙이게 됩니다.
이가 돌아가지 않고
유지할 수 있도록 하는 것입니다
만일, 장치가 떨어졌다면
치료받은 치과에 방문하셔서 다시 붙여주셔야 됩니다
감사합니다.
