치아 파절 신경 치료 기간, 크라운 수복 등 과정 알아보기
안녕하세요, 조승기 원장입니다.
다들 한 번쯤은 신경치료에 대해
들어본 경험이 있을 겁니다.
그러나, 그 과정은 무엇이고
왜 신경치료라고 하는 지는 알지 못하는
경우가 많습니다.
이는 신경을 살리는 치료가 아닌
치아에 있는 신경(혈관,pulp) 을
없애는 술식입니다.
다른 용어로 말하자면, 근관치료 Endodontic treatment 라고 합니다.
일상에서는 편하게 신경 치료 또는
엔도(Endo)라고 부릅니다.
신경 치료 가 필요한 경우는?
① 치아 가 Pulp 까지 크게 파절된 경우
② 우식이 Pulp 까지 진행 된 경우
③ 외상으로 인해 pulp 조직이 손상된 경우
④ pulp 가 괴사되어 치아 뿌리 끝에
염증이 생긴 경우
오늘 설명해드릴 주제는
①번에 해당되는 경우입니다.
물론 이가 너무 크게 깨졌다면,
이를 뽑아야되나
파절된 정도에 따라서 레진으로 수복해도 될지
또는 Endo 를 하고 크라운 을 해 줘야 될지
결정하게 됩니다.
예시 사진과 함께 설명드리겠습니다.


예시 사진을 보면 앞니에
치아 파절이 생긴 것으로 보여집니다.
앞니는 외부 충격에 약하기 때문에
넘어질 때 충격으로 인해
앞니가 깨지는 경우도 있습니다.
이처럼 앞니가 깨졌을 때는
우선 가까운 치과를 방문하셔서
검진을 받는 것이 좋습니다.
넘어졌을 때 별 다른 문제가 없다고 느껴도
외상을 입은 치아는 정기적으로
체크를 해주는 것이 중요합니다.
상기 예시 사진은 큰 파절로
확인되기 때문에
신경치료를 진행해야 할 것으로 판단됩니다.
신경을 제거한 후 통로를 여러번 소독한 뒤
깨끗한 충전재로 채운 후
크라운이라는 보철을 만들어 씌워야 합니다.
크라운을 올리지 않고 치료를
중단하게 되면
신경치료로 인해 죽은 이는
영양분을 공급받지 못하기 때문에
푸석푸석한 상태로 교합력에 의해
쉽게 깨질 수 있습니다.
따라서, 크라운으로 이를 보호해야 합니다.

Endo를 하는 기간에,
깨끗하게 해 줘야 되기 때문에
근관장 길이를 측정 해 주고,
여러번 소독을 해 주면서
근관성형과 근관확대를 진행합니다.
하루만에 끝나는 것이 아니라,
적어도 3-4일에 한 번씩
세척과 소독을 진행해야 합니다.


그 뒤에는 속에서부터 청결한 충전재가
잘 밀폐되어 채워지도록
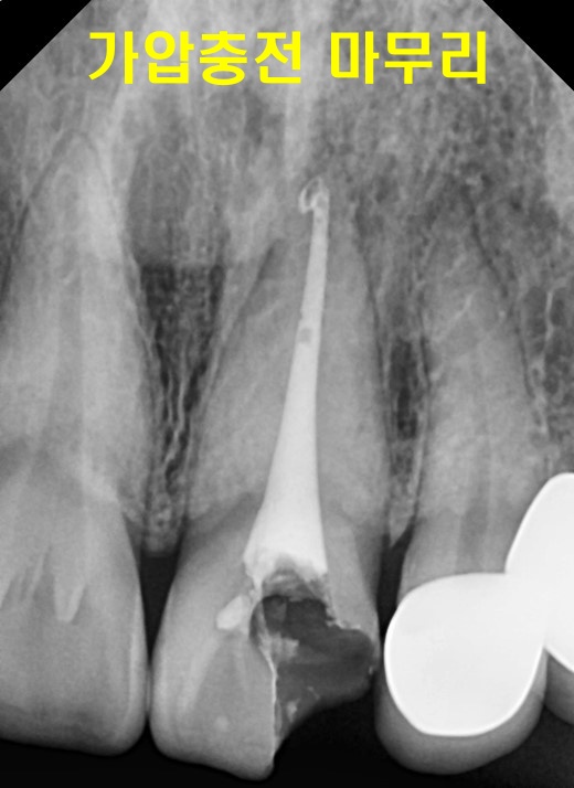
가압충전을 해 주면서 넣어줍니다.
(※ 압력을 줘서 넣어주는 것을 말합니다)
그렇게 치아 뿌리부터 잘 채워줬다면,
치아 머리(치관) 에는 레진이라는 재료로
채워주는 “코어”를 해 줍니다.
이후 차례대로 프렙, 임프레션(본뜨기) 진행 후
템포러리(임시치아)를 씌웁니다.
임시치아 기간이 끝나면
최종적으로 크라운을 셋팅합니다.
크라운을 씌운 후에는 교합력에 문제가 없는 지
조정합니다.
이러한 과정을 통해 신경치료가 마무리됩니다.

레진 코어를 한 상태로 보여집니다.
이후 크라운을 씌워야 할 것으로 예상됩니다.
구강에 발생한 문제는 순식간에
커질 수 있습니다.
간단히 할 수 있었던 것이라도 방치하게 되면
더 큰 일이 될 수 있기에
가까운 치과 방문하셔서 정기적으로
검진을 받아보시길 바라겠습니다.
감사합니다.